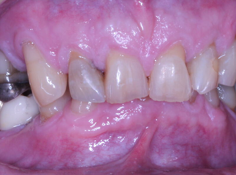
Your smile functions optimally when your teeth, tissues, and bone all work in tandem, and missing teeth can cause damage to such a system.
Missing teeth are not a problem that only elderly patients face; this issue can arise due to sporting accidents, other health conditions, and gum disease. Fortunately, thanks to modern oral health techniques, this can be addressed through a variety of ways, including dental implantation.
Depending on your situation, you can acquire one, two, or several implants, the latter which is known as All-on-X treatment. If you’re ready to restore your smile and learn more about this service, please contact Heritage Family Dental. Dr. Allred, our experienced dentist near you, is happy to address your questions.
Getting All-on-X or “Teeth in a Day”
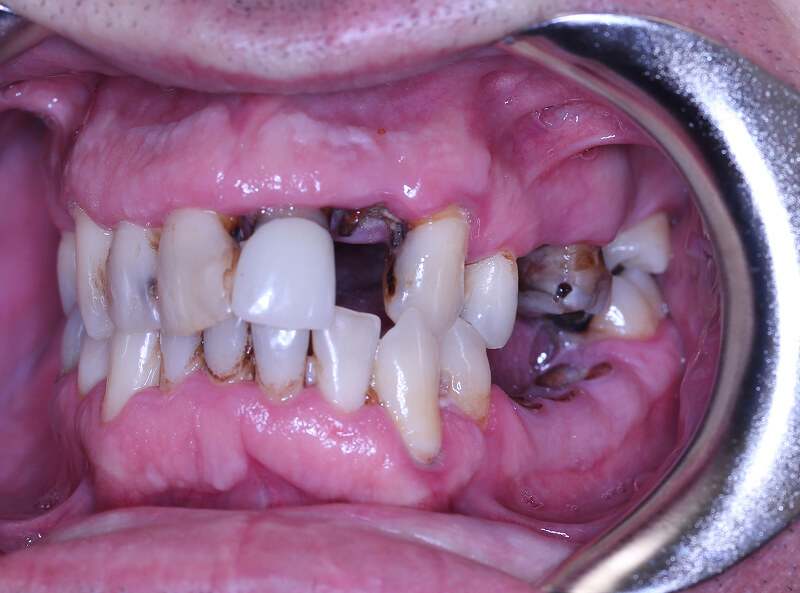
Denture teeth have a fake, dull, opaque appearance and don’t provide patients with the ability to eat the same things as natural teeth would, while covering the roof of the mouth and flopping around while you speak. In comparison, the All-on-X treatment, sometimes referred to as All-on-4 or teeth-in-a-day option offered by Dr. Allred is much more reliable. Every tooth that’s missing is replaced by a beautiful, natural-looking, implant-supported row of teeth.
Under IV sedation Dr. Allred can remove any remaining teeth that are necessary, place implants, and attach a temporary row of teeth anchored to the implants on the same day. Most patients don’t experience much discomfort, especially compared to receiving an immediate denture, because there is no denture sitting on a fresh surgical site. Healing begins as soon as the appointment is done — in fact, any food that can be cut with a fork can be eaten the very next day.
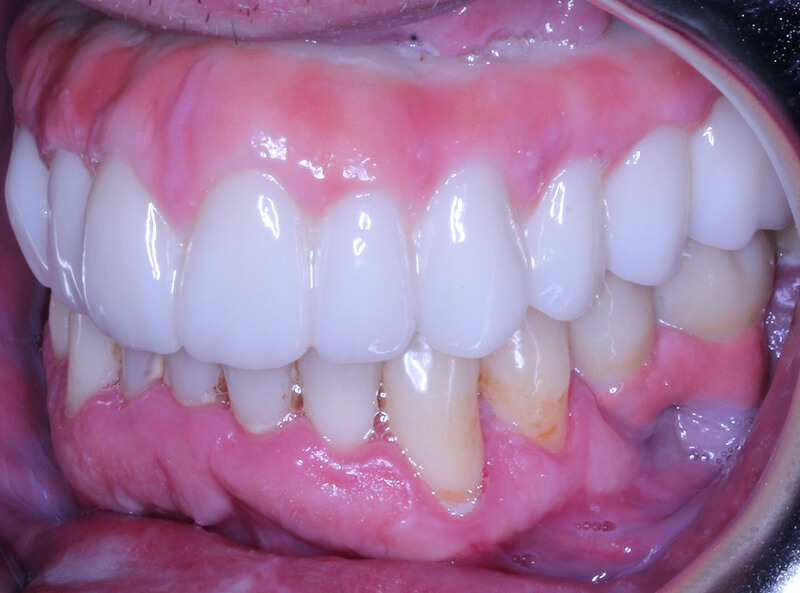
You’ll wear the acrylic temporary teeth for approximately 4 months at which point an aesthetic-looking, custom-made zirconia row of teeth is then fabricated and permanently secured to the implants. This final set of teeth is solid, durable, and allows you to consume anything you can with natural teeth.
Why Visit Heritage Family Dental
Most dentists are not experienced enough to offer All-on-X treatment near you. But, if you’re looking for the best option to replace missing teeth, come in for a free consultation with Dr. Allred to discuss if this would work for you. Dr. Allred will be at your side to guide and collaborate with you throughout the procedure, ready to address questions and alleviate any concerns. So long as you adhere to the post-treatment guidelines, your mouth will make a full recovery.
Everyone here at Heritage Family Dental is dedicated to ensuring all patients are properly looked after and that their unique requirements and goals are met during each appointment. Your comfort is important, so don’t be shy to let Dr. Allred and his team know if need additional measures to have a pleasant experience.
Book Your Consultation Today
For more information about our “teeth in a day” service, please give us a call or send us a message to get started! We can help you select a day and time to meet with our dentist near you when it suits your schedule best.
📍 Find us easily on the Google map and plan your visit today!
Areas We Serve
At Heritage Family Dental, our dental clinic in Red Deer, we’re happy to serve patients from Inglewood, West Park, Central Park, Northland, and Fairview. From routine check-ups to advanced dental care, we’re here to keep your smile healthy. Book an appointment today and keep your smile healthy and bright!
